If gum recession is not treated in time, it can lead to inflammation, infection, and even tooth loss over time. Applying porcelain veneers for teeth affected by receding gums is a solution that many people consider, especially in cases where aesthetics are compromised. However, for those wondering “do veneers help receding gums?”, the answer depends on the specific condition and its severity. Let’s explore expert insights from dental specialists in the article below to better understand this option.
Why do gums recede?
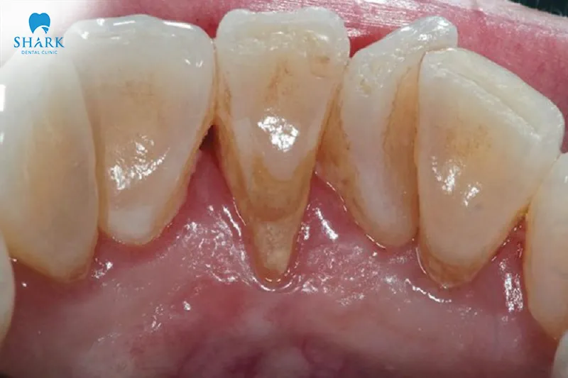
Gum recession, also commonly referred to as receding gums, is a condition in which the gum tissue surrounding the teeth gradually pulls back, shrinks, or recedes, exposing the underlying tooth roots. This condition can negatively affect not only the overall appearance of the smile but also the chewing function and oral comfort. In addition, when the gums recede, small spaces can form around the teeth where food particles and debris can easily accumulate, creating a favorable environment for bacteria to grow and potentially cause further oral health problems.
There are several different causes that may lead to gum recession, including:
- Periodontal disease and gingivitis: One of the most common causes of gum recession is related to oral diseases such as gum inflammation or periodontitis. When bacteria accumulate around the tooth roots and plaque or tartar is not properly cleaned over time, it can gradually destroy gum tissue and cause the gums to separate from the teeth.
- Improper oral hygiene habits: Brushing teeth incorrectly, using a hard-bristled toothbrush, or applying excessive force—especially brushing horizontally—can slowly wear down the gum tissue and damage the enamel, eventually leading to gum recession.
- Genetics and natural conditions: Some individuals may naturally have thin gum tissue, weaker bone structure, or a genetic predisposition, making them more likely to experience gum recession over time.
- Hormonal changes: During certain stages such as puberty or after childbirth, hormonal fluctuations can make the gums more sensitive and more susceptible to bacterial attack, which may increase the risk of gum recession.
- Misaligned teeth: When the teeth are not properly aligned, uneven pressure can be placed on the gums and supporting bone, affecting surrounding structures and contributing to gum recession.
- Harmful daily habits: Habits such as teeth grinding (bruxism) or smoking can gradually damage both enamel and gum tissue, increasing the likelihood of gum recession and negatively impacting oral health.

Do veneers help receding gums?
For patients wondering, “do veneers help receding gums,” the reality is that veneers do not treat or correct the underlying condition. This is because when gum recession occurs, there are already visible gaps near the tooth roots, and the gum tissue itself may be inflamed, irritated, or damaged.
Veneers are mainly a cosmetic dental solution, commonly applied in cases such as minor chips, discoloration, or uneven tooth surfaces. These ultra-thin shells are bonded to the front surface of the teeth to improve their external appearance and enhance overall aesthetics. To better understand how veneers improve smile aesthetics, you can also explore porcelain veneers before and after results.
However, in cases where gum recession is present, veneers cannot address the root cause of the problem or restore lost gum tissue. Therefore, they are not considered an effective treatment for this condition. At this stage, patients should visit a reputable dental clinic so that a dentist can conduct a thorough examination, accurately assess the severity, and recommend the most suitable and effective treatment approach.

Other options for treating gum recession
For individuals experiencing gum recession, a dentist will perform a detailed evaluation and determine the appropriate treatment method depending on the severity and progression of the condition.
Mild gum recession
In mild cases, where the gum recession is around 3–5 mm, the dentist may carry out deep cleaning procedures to remove plaque, tartar, and bacteria from below the gum line. This helps reduce inflammation, stabilize the gum tissue, and support recovery, along with proper guidance on maintaining correct oral hygiene habits.
Severe gum recession
In more advanced cases, where a significant portion of the tooth root is exposed and symptoms such as tooth sensitivity, swelling, inflammation, or persistent bad breath appear, more specialized treatments may be required, including:
- Gum graft surgery: The dentist will take tissue from another area in the mouth and graft it onto the affected gum region to cover exposed roots, clean infected areas, and restore the gum line more effectively.
- Gum repositioning surgery: This technique is used to reposition the existing gum tissue in order to cover exposed tooth roots, helping improve both protection and aesthetics.
- Periodontal pocket cleaning (deep curettage): In cases of severe infection, deeply affected areas will be thoroughly cleaned, and in some cases, bone grafting procedures may be performed to prevent bone loss and support the restoration of gum health.

In summary, if you are wondering, “do veneers help receding gums” while veneers are useful for improving dental aesthetics, they are not a solution for gum recession. There are, however, multiple effective treatment options available depending on the specific condition and severity. Patients are encouraged to choose reputable dental clinics to ensure safe treatment and minimize potential complications. If you have concerns about receding gums, contacting a professional dental team such as Shark Dental Clinic can help you receive timely consultation and appropriate care tailored to your needs.






