Teeth whitening is a popular method for achieving a bright and confident smile. However, gum burns can occasionally occur due to improper use or when the whitening agent directly contacts the gum tissue. So, how to treat burned gums from teeth whitening effectively? Let’s explore detailed guidance from Shark Dental Clinic below!
What causes gum irritation when whitening teeth?
After teeth whitening, the gums may show signs of burning. The main causes of this condition include:
Oral health conditions
Whitening teeth while having untreated oral health issues—such as lesions or gum inflammation—can easily lead to gum burns, as the soft tissue is already sensitive to whitening agents.
Incorrect technique
Although teeth whitening is a relatively simple procedure, it requires precision and care from the dentist. If the whitening gel accidentally comes into contact with the gums, it can cause burns, resulting in pain and discomfort.

Low-quality whitening products
Using low-quality whitening agents is a primary cause of gum burns following teeth whitening. This often occurs in less reputable dental clinics that utilize products without clear origin, which may contain highly irritating ingredients that can damage the gums.
>>> See more: Does teeth whitening damage enamel?
Improper at-home whitening
Self-whitening at home with strips or gels, without consulting a dentist, carries several risks. These include ill-fitting trays that allow the gel to spill onto the gums or exceeding the recommended time and dosage, making the gums more susceptible to irritation and blistering.
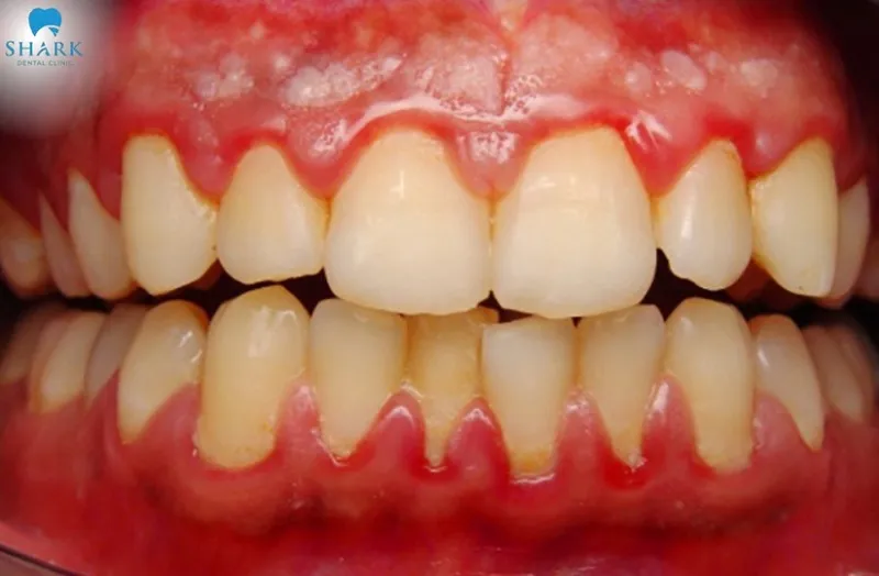
Signs of gum irritation after teeth whitening
When gums are irritated after teeth whitening, common signs include:
- The gums and surrounding soft tissue may turn white due to the effect of peroxide on the tissue.
- The soft tissue around the gums feels uncomfortable, painful, or burning.
- Pain in the mouth when chewing or eating.
- In some cases, irritated gums may develop small bumps or minor ulcers.

>>> See more: Best whitening teeth kits
How to treat burned gums from teeth whitening
If you experience gum irritation after teeth whitening, it’s important to know how to treat burned gums effectively. Here are some methods to help alleviate discomfort:
Temporary home treatment
If your gums become burned during teeth whitening, follow these guidelines:
- Stop whitening immediately: As soon as you notice any signs of irritation, stop the whitening process immediately to prevent further damage.
- Rinse with saltwater: Dissolve a small amount of salt in warm water and gently rinse your mouth. This will help remove any residual whitening agents from your teeth and soothe your gums. Salt also has strong antiseptic properties, which can help prevent bacterial growth and infection.
- Apply vitamin E: Vitamin E is a powerful antioxidant that aids in calming and restoring damaged gum tissue. If your gums are burned, apply a small amount of Vitamin E directly to the affected area to relieve discomfort and promote healing.
- Cold compress: Apply ice to the burned area of your gums to alleviate pain. Keep the compress on for about 10 to 15 minutes, and if sensitivity persists, you can repeat this process.
- Gentle eating and oral hygiene: During the healing period, be mindful of your diet and oral hygiene. Brush your teeth gently with a soft-bristled toothbrush and avoid hard, spicy, or hot foods, as these can aggravate pain and irritation.

Professional dental treatment
If your gums remain burned for several days despite home treatment and show no signs of improvement, it’s important to visit a dental clinic. During your examination, the dentist will:
– Identify the root cause of the irritation.
– Recommend appropriate treatment methods.
– Prescribe pain relief or antibiotics based on the severity of the burn.
Professional care ensures proper healing and helps prevent potential complications.
How to prevent burned gums when whitening teeth
To minimize the risk of burned gums during teeth whitening, follow these precautions before and during the process:
- Choose a reputable, safe dental clinic: Having your teeth whitened at a professional clinic is one of the most effective ways to avoid gum burns.
- Check product ingredients: Carefully review the ingredients of the whitening product. Avoid agents with high concentrations of peroxide, as they can irritate or burn the gums.
- Apply a protective layer on the gums: Use a thin layer of Vaseline or a protective cream on your gums before whitening to create a barrier.
- Use proper equipment: Ensure that whitening trays fit your mouth accurately. Ill-fitting trays can allow gel to spill onto the gums, increasing the risk of burns or irritation.
- Follow instructions carefully: Adhere to the recommended dosage and duration for applying the whitening gel. Overuse or prolonged application can damage both your gums and teeth.
- Stop if any discomfort occurs: If you experience any unusual symptoms such as burning, pain after teeth whitening, or irritation, stop the whitening process immediately and consult a dentist for safer alternatives.

By following these prevention and treatment guidelines, you can safely whiten your teeth while protecting your gums. Shark Dental Clinic hopes this information helps you understand how to treat burned gums from teeth whitening and maintain optimal oral health. Always consult a professional and use quality whitening products for safe, effective, and lasting results.
>>> See more: Dental bleaching in Vietnam






