Consultation and Treatment Planning

Know the plan, implant, time, and package price

Register for a Free Consultation & Check-up

Consultation and Treatment Planning

Know the plan, implant, time, and package price

REGISTER NOW

X

Teeth scaling before and after: Dental procedure overview

Schedule a Consultation
Rate this post

Teeth scaling is a dental procedure designed to remove stubborn tartar and plaque buildup, helping to maintain bright, healthy, and strong teeth. Unfortunately, many people tend to overlook this important process, often assuming it is unnecessary. To clarify its significance, let’s explore the striking teeth scaling before and after results at Shark Dental Clinic and understand the vital role this treatment plays in maintaining oral hygiene and appearance.

Teeth scaling before and after photos

Viewing before and after photos of dental scaling clearly demonstrates the benefits of removing tartar buildup. This procedure not only prevents gum disease but also significantly reduces bad breath and helps avert other potential oral health issues.

You can refer to several dental scaling before and after images below to clearly see the results.

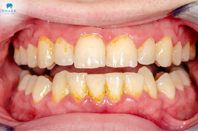
Before teeth scaling, visible tartar buildup is often seen along the gum line and between the teeth
Before teeth scaling, visible tartar buildup is often seen along the gum line and between the teeth
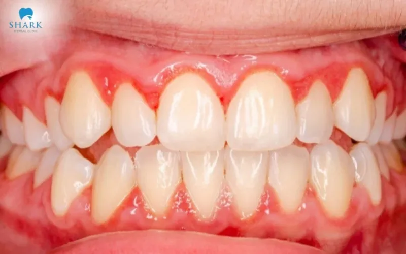
Once cleaned, teeth become visibly brighter with smoother surfaces
Once cleaned, teeth become visibly brighter with smoother surfaces

By comparing several dental scaling images side by side, you can clearly see the difference.

After scaling, teeth appear whiter and more aesthetically pleasing
After scaling, teeth appear whiter and more aesthetically pleasing
There is a noticeable difference between teeth scaling before and after images
There is a noticeable difference between teeth scaling before and after images

Signs a deep teeth cleaning is needed

Dental specialists recommend visiting a dental clinic for professional cleaning and tartar removal every six months. Additionally, you should schedule a deep cleaning session if you notice any of the following signs:

Gum inflammation and bleeding while brushing

If you experience red or swollen gums that bleed easily, this could be an early sign of gingivitis, primarily caused by plaque and tartar buildup on the tooth surface over time. It is one of the clearest indicators that you should seek professional dental cleaning.

Persistent bad breath

Another common sign that you need a deep cleaning is ongoing bad breath. This unpleasant odor often results from leftover food particles trapped between teeth or deep within the gum pockets, leading to tartar formation—even if you brush your teeth diligently.

Persistent bad breath is a clear sign that you need professional deep cleaning to remove tartar and plaque buildup
Persistent bad breath is a clear sign that you need professional deep cleaning to remove tartar and plaque buildup

Tooth decay

If you notice dark spots on your teeth accompanied by sensitivity, pain, or discomfort, this may indicate the onset of tooth decay. At this stage, it is crucial to consult a dental clinic for deep teeth cleaning and treatment. If not addressed promptly, the condition may worsen and severely impact your overall oral health.

Excessive tartar buildup

If you notice yellowish or brownish plaque accumulating on your teeth, particularly near the gum line, it indicates heavy tartar buildup. At this stage, regular at-home oral care methods are not sufficient. While some people search for ways of scaling teeth at home, using DIY tools can be dangerous and ineffective at removing hardened deposits. You will need to visit a dental clinic, where dentists use specialized ultrasonic instruments to thoroughly and safely clean your teeth without damaging the enamel.

Gum recession

Gum recession, or receding gums, often results from improper oral hygiene habits or underlying periodontal disease. This condition is typically characterized by teeth appearing longer than before, exposed tooth roots, and increased tooth sensitivity. In such cases, it is essential to visit your dentist for a deep dental cleaning. Professional scaling and cleaning help remove trapped bacteria between the gum line and tooth surface, preventing further gum damage.

When gum recession occurs, you should visit a dental clinic for a deep cleaning to prevent bacteria from getting trapped between the gum line and teeth, which could lead to further infection
When gum recession occurs, you should visit a dental clinic for a deep cleaning to prevent bacteria from getting trapped between the gum line and teeth, which could lead to further infection

Deep teeth cleaning procedure

The deep teeth cleaning process, also known as dental scaling, is performed at the clinic through a series of precise steps, including:

Step 1: Examination and consultation

First, the dentist will conduct a comprehensive oral examination to assess the overall condition of your teeth and gums. They will determine the extent of tartar buildup and provide a detailed treatment plan tailored to your needs.

Step 2: Oral rinsing

Before beginning the scaling procedure, the dentist will ask you to rinse your mouth. This helps remove food debris and bacteria from the oral cavity, ensuring that the cleaning process proceeds smoothly and hygienically.

Step 3: Scaling (Tartar removal)

Today, dental scaling has become much easier and more comfortable thanks to ultrasonic technology. The gentle vibrations from the ultrasonic device effectively dislodge hardened tartar and plaque without harming the surrounding soft tissues.

The dentist will perform the scaling section by section, allowing the ultrasonic tip to reach deep into every tooth surface. This ensures the complete removal of plaque, from the tooth surface to beneath the gum line, for a thorough and safe cleaning.

>>> See more: Teeth scaling cost in Vietnam

Step 4: Polishing

Once all tartar and debris have been successfully removed, the dentist will use professional polishing tools and paste to smooth the tooth surfaces. This not only enhances the brightness and shine of your teeth but also helps prevent future plaque accumulation.

Step 5: Post-care guidance

After the procedure, your dentist will provide personalized advice on oral care, including brushing techniques, flossing, and dietary habits, to help you maintain clean, bright teeth and prevent tartar buildup. You will also be informed of your next routine cleaning schedule.

Regular teeth scaling is essential to maintain both the aesthetics and health of your smile
Regular teeth scaling is essential to maintain both the aesthetics and health of your smile

Through the teeth scaling before and after photos shared by Shark Dental Clinic, it is evident how important deep cleaning is for your oral health. Regular and proper professional cleanings not only protect your teeth and gums from potential diseases but also help you maintain a healthy, confident smile every day.

>>> See more: Teeth scaling in Vietnam

RELATED KNOWLEDGE

Consult now
Schedule an appointment
Address